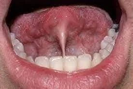
ನಾಲಿಗೆ ಕಟ್ಟು ಅಥವಾ ಆಂಖೈಲೋಗ್ಲೋಸಿಯಾ ಎನ್ನುವುದು ಒಂದು ಜನ್ಮ ಜಾತವಾಗಿ ಕಂಡು ಬರುವ ವಿಶೇಷ ಸನ್ನಿವೇಶವಾಗಿದ್ದು, ಮಗುವಿನ ನಾಲಿಗೆಯನ್ನು ಚಲನೆಯನ್ನು ಅದು ನಿಯಂತ್ರಿಸುತ್ತದೆ. ಇದನ್ನು ಆಂಗ್ಲಭಾಷೆಯಲ್ಲಿ ಟಂಗ್ ಟೈ ಅಂತಲೂ ಕರೆಯುತ್ತಾರೆ. ನಾಲಿಗೆ ತಳಭಾಗದಲ್ಲಿ ಬಾಯಿಯ ಬಾವಿಗೆ ನಾಲಗೆಯನ್ನು ಹಿಡಿದಿಟ್ಟುಕೊಂಡು ನಾಲಗೆ ಸರಾಗವಾಗಿ ಚಲಿಸದಂತೆ ನಿಯಂತ್ರಿಸುತ್ತದೆ. ಈ ರೀತಿ ನಾಲಿಗೆಯ ಚಲನೆ ಸರಾಗವಾಗಿ ಆಗದಿದ್ದಲ್ಲಿ ಮುಂದೆ ಮಾತನಾಡುವಾಗ ತೊದಲುವಿಕೆ ಉಂಟಾಗುವ ಸಾಧ್ಯತೆ ಇರುತ್ತದೆ.
ಹುಟ್ಟುವಾಗಲೇ ಇರುವ ಈ ವಿಶೇಷ ಸನ್ನಿವೇಶವನ್ನು ಗುರುತಿಸಿ ಸರ್ಜರಿ ಮುಖಾಂತರ ಸರಿಪಡಿಸಿಕೊಳ್ಳಬೇಕು. ನಾಲಗೆಯ ಚಲನೆಯ ನಿಯಂತ್ರಣದ ಗ್ರೇಡನ್ನು ನೋಡಿಕೊಂಡು ಸರಳ, ಮೀಡಿಯಂ ಮತ್ತು ಸಂಕೀರ್ಣ ಎಂದೂ ವಿಂಗಡಿಸಲಾಗುತ್ತದೆ. ಸಂಕೀರ್ಣವಾಗಿ ನಾಲಗೆ ಕಟ್ಟು ತೊಂದರೆ ಇರುವವರಿಗೆ ನಾಲಗೆ ತುದಿವರೆಗೆ ಬಾಯಿಯ ಒಳಭಾಗದ ತಳಭಾಗಕ್ಕೆ ಕೂಡಿಕೊಂಡಿರುತ್ತದೆ.
ಏನು ತೊಂದರೆ?
1)ಸಣ್ಣ ಮಕ್ಕಳಲ್ಲಿ ತಾಯಿಯ ಎದೆ ಹಾಲು ಕುಡಿಯಲು ತೊಂದರೆ ಉಂಟಾಗಬಹುದು. ನಾಲಗೆ ಎದೆ ಹಾಲು ಕುಡಿಯುವಾಗ ಬಹು ಮುಖ್ಯ ಭೂಮಿಕೆ ವಹಿಸುತ್ತದೆ.
2)ಮಗುವಿನ ಮಾತು ಬೆಳವಣಿಗೆಗೆ ನಾಲಗೆಯ ಸರಾಗ ಚಲನೆ ಅತೀ ಅಗತ್ಯ. ನಾಲಗೆಯ ಚಲನೆಗೆ ತೊಂದರೆ ಉಂಟಾದಲ್ಲಿ ಕೆಲವೊಂದು ಅಕ್ಷರಗಳನ್ನು ಉಚ್ಚರಿಸಲು ಸಾಧ್ಯವಾಗದೇ ಇರಬಹುದು.
3)ಮಗುವಿಗೆ ಆಹಾರ ಅಥವಾ ದ್ರವ ಪದಾರ್ಥಗಳನ್ನು ನುಂಗಲು ಸಾಧ್ಯವಾಗದೇ ಇರಬಹುದು. ಆಹಾರ ಸೇವನೆಯ ಸಂದರ್ಭದಲ್ಲಿ ಜಗಿದ ಆಹಾರವನ್ನು ಗಂಟಲಿನ ಭಾಗಕ್ಕೆ ದೂಡಲು ನಾಲಗೆ ಸಹಾಯ ಮಾಡುತ್ತದೆ.
4)ನಾಲಗೆ ಸರಾಗವಾಗಿ ಚಲನೆ ಮಾಡಲು ಸಾಧ್ಯವಾಗದೇ ಇದ್ದ ಪಕ್ಷದಲ್ಲಿ ಆಹಾರ ಪಚನಕ್ರಿಯೆ ಕೂಡಾ ಸರಿಯಾಗಿ ಆಗದೇ ಇರಬಹುದು. ನಾವು ತಿಂದ ಆಹಾರವನ್ನು ಸರಿಯಾಗಿ ಜೊಲ್ಲು ರಸದೊಂದಿಗೆ ಸೇರಿಕೊಂಡು, ಜೊಲ್ಲು ರಸದಲ್ಲಿನ ಕಿಣ್ವಗಳ ಜೊತೆ ಬೆರೆಯುವಂತೆ ಮಾಡಲು ನಾಲಗೆ ಸರಾಗವಾಗಿ ಚಲನೆಯಲ್ಲಿದ್ದು, ಎಲ್ಲಾ ದಿಶೆಯಲ್ಲಿ ಚಲಿಸುವಂತೆ ಇರತಕ್ಕದ್ದು, ಇಲ್ಲವಾದಲ್ಲಿ ನಾವು ತಿಂದ ಆಹಾರ ಸರಿಯಾಗಿ ಪಚನವಾಗದೆ ಜೀರ್ಣ ಪ್ರಕ್ರಿಯೆಗೆ ತೊಂದರೆಯಾಗುವ ಎಲ್ಲಾ ಸಾಧ್ಯತೆಗಳೂ ಇರುತ್ತದೆ.
5)ನಾಲಗೆ ಸರಾಗವಾಗಿ ಚಲಿಸದೇ ಇದ್ದಲ್ಲಿ ಮಗುವಿಗೆ ಮಾತನಾಡಲು ಹಿಂಜರಿಕೆ ಉಂಟಾಗಿ, ಮಗುವಿನ ಮಾನಸಿಕ ಬೆಳವಣಿಗೆ ಕುಂಠಿತವಾಗುವ ಸಾಧ್ಯತೆಯೂ ಇರುತ್ತದೆ. ತೊದಲುವಿಕೆಯಿಂದಾಗಿ ಮಗು ಎಲ್ಲರ ಜೊತೆ ಸರಿಯಾಗಿ ಸಂವಹನೆ ಮಾಡಲು ಮುಜುಗರ ಉಂಟಾಗಿ, ಅದು ಅವರ ಮಾನಸಿಕ ಬೆಳವಣಿಗೆಗೆ ಋಣಾತ್ಮಕವಾಗಿ ಕಾಡುವ ಸಾಧ್ಯತೆಯೂ ಇರುತ್ತದೆ.
6)ನಾಲಗೆ ಕಟ್ಟಿನ ಸಮಸ್ಯೆಯಿಂದಾಗಿ ನಾಲಗೆಯ ಸರಾಗ ಚಲನೆ ಕುಂಠಿತವಾಗಿ ಬಾಯಿಯ ಶುಚಿತ್ವ ಕಾಪಾಡಿಕೊಳ್ಳಲು ಸಾಧ್ಯವಾಗದೆ ಇರಬಹುದು. ಹಲ್ಲಿನ ಸುತ್ತ ಮತ್ತು ವಸಡಿನ ಸುತ್ತ ಇರುವ ಆಹಾರವನ್ನು ನಾಲಗೆಯಿಂದ ಶುಚಿಗೊಳಿಸಲು ಸಾಧ್ಯವಾಗದೆ ಇರಬಹುದು. ಇದರಿಂದಾಗಿ ದಂತಕ್ಷಯ ಮತ್ತು ವಸಡಿನ ಉರಿಯೂತಕ್ಕೆ ಕಾರಣವಾಗಲೂಬಹುದು.
7)ನಾಲಗೆ ಕಟ್ಟು ಇರುವವರಿಗೆ ಐಸ್ಕ್ರೀಮ್ ಕೋನ್ ತಿನ್ನಲು, ತುಟಿಗಳನ್ನು ನಾಲಗೆಯಿಂದ ಸವರಲು ಮತ್ತು ಕೆಲವೊಂದು ಸಂಗೀತ ಸಾಧನಗಳನ್ನು ಬಳಸಲು ಸಾಧ್ಯವಾಗದೇ ಇರಬಹುದು.
8)ನಾಲಗೆ ಕಟ್ಟು ಇರುವವರಿಗೆ ಕೆಲವೊಂದು ಶಬ್ದಗಳಾದ t, d, z, s, th, r ಮತ್ತು I ಮುಂತಾದವುಗಳನ್ನು ಉಚ್ಚರಿಸಲು ಸಾಧ್ಯವಾಗದೇ ಇರಬಹುದು.
ಹೇಗೆ ಪತ್ತೆಹಚ್ಚುವುದು?
1)ಬಹಳ ಸುಲಭವಾಗಿ ಹೆತ್ತವರು ಇದನ್ನು ಪತ್ತೆ ಹಚ್ಚಬಹುದಾಗಿದೆ
2)ಮಗು ತನ್ನ ನಾಲಗೆಯಿಂದ ಬಾಯಿ ಜೋರಾಗಿ ತೆರೆದು ಮೇಲ್ಬಾಗದ ಬಾಚಿ ಹಲ್ಲುಗಳನ್ನು ಮುಟ್ಟಲು ಪ್ರಯತ್ನಿಸಬೇಕು ಮತ್ತು ನಾಲಗೆಯನ್ನು ಸರಾಗವಾಗಿ ಎಡಭಾಗ ಮತ್ತು ಬಲ ಭಾಗಕ್ಕೆ ಚಲಿಸುವಂತೆ ಇರಬೇಕು
3)ಮಗು ತನ್ನ ನಾಲಗೆಯನ್ನು ಸರಾಗವಾಗಿ ಕೆಳಗಿನ ಬಾಚಿ ಹಲ್ಲುಗಳ ಮೇಲಿಂದ ಹೊರ ಹಾಕುವಂತೆ ಇರಬೇಕು. ಕನಿಷ್ಟ ಪಕ್ಷ ನಾಲಗೆಯ ಮುಂಭಾಗದ 2/3 ರಷ್ಟು ಭಾಗ ನಾಲಗೆ ಬಾಯಿಯಿಂದ ಹೊರ ಹಾಕಲು ಸಾಧ್ಯವಾಗಬೇಕು. ಇದು ಸಾಧ್ಯವಾಗದಿದ್ದಲ್ಲಿ ವೈದ್ಯರನ್ನು ಕಾಣಬೇಕು
4)ಮಗು ತನ್ನ ನಾಲಗೆಯನ್ನು ಹೊರಚಾಚಿ ಮೂಗಿನ ತುದಿಯನ್ನು ಮುಟ್ಟಲು ಪ್ರಯತ್ನಿಸಬೇಕು. ಹೆಚ್ಚಿನವರಲ್ಲಿ ಇದು ಸಾಧ್ಯವಾಗುತ್ತದೆ. ನಾಲಗೆ ಕಟ್ಟು ಸಮಸ್ಯೆ ಇದ್ದಲ್ಲಿ ನಾಲಗೆ ಹೃದಯದ ಆಕಾರದಲ್ಲಿ ಮುಚ್ಚಿಕೊಳ್ಳುತ್ತದೆ ಅಥವಾ ನಾಲಗೆಯ ತುದಿಯಲ್ಲಿ ಎರಡು ನಾಲಗೆಯ ರೀತಿಯಲ್ಲಿ ಗೋಚರಿಸುತ್ತದೆ.
ಕಾರಣಗಳು ಏನು?
ಸಾಮಾನ್ಯವಾಗಿ ಹುಡುಗಿಯರಿಗಿಂತ ಹುಡುಗರಲ್ಲಿ ನಾಲಗೆ ಕಟ್ಟು ತೊಂದರೆ ಹೆಚ್ಚು ಕಂಡು ಬರುತ್ತದೆ. ವಂಶವಾಹಕವಾಗಿ ಕುಟುಂಬಗಳಲ್ಲಿ ಇದು ಹರಿದು ಬರುತ್ತದೆ. ನಾಲಗೆಯ ತಳಭಾಗದಲ್ಲಿ ಲಿಂಗ್ವಲ್ ಪ್ರೀನಮ್ ಎಂಬ ಮಾಂಸ ಮತ್ತು ಸ್ನಾಯುಗಳ ಕಟ್ಟು ಇದ್ದು, ಇದು ನಾಲಗೆಯನ್ನು ಬಾಯಿ ತಳಭಾಗಕ್ಕೆ ಗಟ್ಟಿಯಾಗಿ ಹಿಡಿದಿಟ್ಟುಕೊಂಡು ನಾಲಗೆಯ ಚಲನೆಯನ್ನು ನಿಯಂತ್ರಿಸುತ್ತದೆ. ಆದರೆ ಮಗು ಹುಟ್ಟುವ ಸಂದರ್ಭದಲ್ಲಿ ನಾಲಗೆ ತನ್ನ ತಳಭಾಗದಿಂದ ಬೇರ್ಪಟ್ಟು ಸರಾಗವಾಗಿ ಚಲಿಸುವ ಸಾಮಥ್ರ್ಯ ಪಡೆಯುತ್ತದೆ. ಕಾರಣಾಂತರಗಳಿಂದ ಈ ಪ್ರಕ್ರಿಯೆ ಆಗದೇ ನಾಲಗೆ ಬಾಯಿಯ ತಳಭಾಗಕ್ಕೆ ಕಟ್ಟಿ ಹಾಕಿದಂತೆ ಇದ್ದಲ್ಲಿ, ಅದು ಮುಂದೆ ಹತ್ತು ಹಲವು ಸಮಸ್ಯೆಗಳಿಗೆ ಕಾರಣವಾಗುತ್ತದೆ. ಯಾವುದೇ ನಿರ್ದಿಷ್ಟ ಕಾರಣ ತಿಳಿಯದಿದ್ದರೂ, ವಂಶವಾಹಕ ಕಾರಣಗಳಿಂದ ಬರುವ ಸಾಧ್ಯತೆ ಹೆಚ್ಚು ಎಂದು ವೈದ್ಯರು ಅಭಿಪ್ರಾಯಪಟ್ಟಿದ್ದಾರೆ.
ಚಿಕಿತ್ಸೆ ಹೇಗೆ?
ಸರಳ ನಾಲಗೆ ಕಟ್ಟು ಸಮಸ್ಯೆ ಕೆಲವೊಂದು ನಾಲಗೆ ವ್ಯಾಯಾಮ ಅಥವಾ ಕಸರತ್ತಿನ ಮುಖಾಂತರ ಸರಿಪಡಿಸಬಹುದು. ಆದರೆ ಮೀಡಿಯಂ ಮತ್ತು ಸಂಕೀರ್ಣ ನಾಲಗೆ ಕಟ್ಟು ಸಮಸ್ಯೆಗೆ ಸರ್ಜರಿ ಅತೀ ಅಗತ್ಯ. ಸರ್ಜರಿ ಮುಖಾಂತರ ನಾಲಗೆ ಕಟ್ಟಿಗೆ ಕಾರಣವಾದ ಲಿಂಗ್ವನ್ ಪ್ರೀನಮ್ನ್ನು ಕತ್ತರಿಸಿ ಹಾಕಲಾಗುತ್ತದೆ. ಇದನ್ನು ಲೇಸರ್ ಮುಖಾಂತರವೂ ಮಾಡಲು ಸಾಧ್ಯವಿದೆ. ಲೇಸರ್ ಸರ್ಜರಿ ಮಾಡಿಸಿದಲ್ಲಿ ನೋವು, ಉರಿಯೂತ, ಯಾತನೆ ಹೆಚ್ಚು ಇರುವುದಿಲ್ಲ. ನುರಿತ ದಂತವೈದ್ಯರು ಅಥವಾ ಬಾಯಿ ಮುಖ ದವಡೆ ಶಸ್ತ್ರಚಿಕಿತ್ಸಕರು ಈ ಸರ್ಜರಿ ಮಾಡುತ್ತಾರೆ. ಸ್ಥಳೀಯ ಅರಿವಳಿಕೆ ಅಥವಾ ಸಂಪೂರ್ಣ ಅರಿವಳಿಕೆ ನೀಡಿ ಸರ್ಜರಿ ಮಾಡಲಾಗುತ್ತದೆ.
ಕೊನೆಮಾತು :
ನಾಲಗೆ ಕಟ್ಟು ಅಥವಾ ಆಂಕೈಲೋಗ್ಲೋಸಿಯ ಎನ್ನುವುದು ಮಾರಣಾಂತಿಕವಲ್ಲದ ಸಮಸ್ಯೆ ಆದರೂ, ಸಕಾಲದಲ್ಲಿ ಗುರುತಿಸಿ ಸೂಕ್ತ ಚಿಕಿತ್ಸೆ ನೀಡದೇ ಇದ್ದಲ್ಲಿ ಮುಂದೆ ಸಂಕೀರ್ಣ ಸಮಸ್ಯೆಗಳಿಗೆ ಕಾರಣವಾಗಬಹುದು. ಈ ಕಾರಣದಿಂದ ಮಗುವಾಗಿದ್ದಾಗಲೇ ಗುರುತಿಸಿ, ತಜ್ಞ ವೈದ್ಯರಿಂದ ಚಿಕಿತ್ಸೆ ಪಡೆದಲ್ಲಿ ಮಗುವಿನ ದೈಹಿಕ ಮತ್ತು ಮಾನಸಿಕ ಬೆಳವಣಿಗೆಗೆ ಯಾವುದೇ ತೊಂದರೆ ಉಂಟಾಗುವ ಸಾಧ್ಯತೆ ಇಲ್ಲ. ಅದರಲ್ಲಿಯೇ ಮಗುವಿನ ಹಿತ ಮತ್ತು ಆರೋಗ್ಯದ ಗುಟ್ಟು ಅಡಗಿದೆ.
ಡಾ|| ಮುರಲೀ ಮೋಹನ್ಚೂಂತಾರು

