ಬೇಬಿ ಬಾಟಲ್ ದಂತ ಕ್ಷಯ

0
126

ಹಲ್ಲುಗಳು ಹುಳುಕಾಗಲು ಬರೀ ಸಿಹಿ ತಿಂಡಿ ಮಾತ್ರವೇ ಕಾರಣವಲ್ಲ. ಹಲ್ಲು ಹುಳುಕಾಗಲು ಹಲವಾರು ಕಾರಣಗಳಿವೆ. ಅನುವಂಶಿಕ ಮತ್ತು ವಂಶ ಪಾರಂಪರ್ಯ ಕಾರಣಗಳು, ನಿಯಮಿತವಾಗಿ ಹಲ್ಲಿನ ಆರೋಗ್ಯವನ್ನು ಪರೀಕ್ಷಿಸಿಕೊಳ್ಳದಿರುವುದು, ಸರಿಯಾದ ಕ್ರಮದಲ್ಲಿ ಸರಿಯಾದ ದಂತ ಚೂರ್ಣವನ್ನು ಉಪಯೋಗಿಸಿ ಹಲ್ಲು ಉಜ್ಜದಿರುವುದರಿಂದ ದಂತ ಕ್ಷಯವಾಗುವ ಸಾಧ್ಯತೆ ಇರುತ್ತದೆ. ಇದರ ಜೊತೆಗೆ ಹಲ್ಲಿನ ರಚನೆಯಲ್ಲಿನ ವ್ಯತ್ಯಾಸ, ತುಂಬಾ ಆಳವಾದ ಹಲ್ಲಿನ ಚಡಿ ಮತ್ತು ಗೀರುಗಳು ಹಲ್ಲಿನ ಜೋಡಣೆಯಲ್ಲಿನ ವ್ಯತ್ಯಾಸ, ವಕ್ರದಂತತೆ ಇತ್ಯಾದಿಗಳಿಂದಾಗಿ ಹಲ್ಲಿನ ಆರೋಗ್ಯವನ್ನು ಕಾಪಾಡಿಕೊಳ್ಳಲಾಗದ ವಾತಾವರಣ, ಮೃದುವಾದ ಜಿಗುಟಾದ ಸಿಹಿ ಪದಾರ್ಥಗಳ ಅತಿಯಾದ ಬಳಕೆ, ಹಲ್ಲಿನ ಆರೋಗ್ಯದ ಬಗ್ಗೆ ನಿರ್ಲಕ್ಷ್ಯ ಧೋರಣೆ, ಮೂಡನಂಬಿಕೆ, ಅನಕ್ಷರತೆ ಮತ್ತು ಮೂಲಸೌಕರ್ಯದ ಕೊರತೆ ಮುಂತಾದವುಗಳಿಂದಲೂ ದಂತ ಕ್ಷಯ ಬರುವ ಸಾಧ್ಯತೆ ಇರುತ್ತದೆ. ಅದೇ ರೀತಿ ಬುದ್ಧಿ ಮಾಂದ್ಯತೆ, ವಿಕಲ ಚೇತನ, ಅನಾರೋಗ್ಯದ ಕಾರಣದಿಂದಲೂ ಹಲ್ಲಿನ ಆರೋಗ್ಯವನ್ನು ಕಾಪಾಡಿಕೊಳ್ಳಲಾಗದ ಸನ್ನಿವೇಶ ದಂತ ಕ್ಷಯಕ್ಕೆ ರಹದಾರಿ ಮಾಡಿಕೊಡುತ್ತದೆ. ಅತಿಯಾದ ಮಧ್ಯಪಾನ ಮತ್ತು ಧೂಮಪಾನ ಸೇವನೆಯಿಂದ ಜೊಲ್ಲುರಸದ ಉತ್ಪತ್ತಿ ಕಡಮೆಯಾಗಿ, ಪರೋಕ್ಷವಾಗಿ ದಂತ ಕ್ಷಯಕ್ಕೆ ಪೂರಕವಾದ ವಾತಾವರಣವನ್ನು ನಿರ್ಮಿಸಿಕೊಡುತ್ತದೆ. ಜೊಲ್ಲುರಸ ಕಡಮೆಯಾದಾಗ, ಜಿಗುಟಾದಾಗ, ಜೊಲ್ಲುರಸದ ಸ್ವಯಂ ಶುಚಿಗೊಳಿಸುವ ಶಕ್ತಿ ಕಡಮೆಯಾಗಿ ಬ್ಯಾಕ್ಟೀರಿಯಾಗಳ ಸಂಖ್ಯೆ ಜಾಸ್ತಿಯಾಗಿ ದಂತ ಕ್ಷಯ ಕಾಣಿಸಿಕೊಳ್ಳುತ್ತದೆ.

ಹಾಗೆಯೇ ಅರ್ಬುದ ರೋಗಕ್ಕೆ ನೀಡುವ ದಂತ ಕ್ಷಕಿರಣ ಚಿಕಿತ್ಸೆಯಿಂದ ವ್ಯತಿರಕ್ತ ಪರಿಣಾಮ ಉಂಟಾಗಿ “ವಿಕಿರಣ ದಂತ ಕ್ಷಯ” ಉಂಟಾಗಬಹುದು. ಮಕ್ಕಳಲ್ಲಿ ರಾತ್ರಿ ಹೊತ್ತು ಬಾಟಲಿನಲ್ಲಿ ಸಕ್ಕರೆಯುತ್ತ ಹಾಲನ್ನು ಮಲಗಿಸುವಾಗ ನೀಡುವುದರಿಂದ ‘ಬೇಬಿ ಬಾಟಲ್ ದಂತ ಕ್ಷಯ’ ಉಂಟಾಗುತ್ತದೆ. ಒಟ್ಟಿನಲ್ಲಿ ದಂತಕ್ಷಯ ಎನ್ನುವುದು ಹಲ್ಲಿಗೆ ಬರುವಂತಹ ಸಾಂಕ್ರಾಮಿಕ ರೋಗವಾಗಿದ್ದು, ಮಕ್ಕಳಲ್ಲಿ ಮತ್ತು ಯುವಜನರಲ್ಲಿ ಹೆಚ್ಚಾಗಿ ಕಾಣಿಸಿ ಕೊಳ್ಳುತ್ತದೆ. ಈ ದಂತ ಕ್ಷಯಕ್ಕೆ ಬರೀ ಸಿಹಿ ತಿಂಡಿ ಸೇವನೆ ಮಾತ್ರ ಕಾರಣವಲ್ಲ. ಮೇಲೆ ತಿಳಿಸಿದ ಹತ್ತು ಹಲವಾರು ಕಾರಣಗಳು ಒಟ್ಟಾಗಿ ಮೇಳೈಸಿ ದಂತ ಕ್ಷಯಕ್ಕೆ ಕಾರಣವಾಗುತ್ತದೆ. ವಯಸ್ಸಾದಂತೆ ಹಲ್ಲಿನ ವಸಡುಗಳು ಜಾರಿ, ಹಿಂದೆ ಸರಿದು, ಹಲ್ಲಿನ ಕೀರಿಟ ಭಾಗಕ್ಕಿಂತಲೂ ಹೆಚ್ಚು, ಕುತ್ತಿಗೆಯ ಭಾಗದಲ್ಲಿ ದಂತ ಕ್ಷಯದ ಸಂಭವ ಜಾಸ್ತಿಯಿರುತ್ತದೆ. ಆದರೆ ಮಕ್ಕಳಲ್ಲಿ ಮತ್ತು ಯುವಜನರಲ್ಲಿ ಹಲ್ಲಿನ ಕೀರಿಟ ಭಾಗದಲ್ಲಿ ದಂತ ಕ್ಷಯ ಹೆಚ್ಚು ಕಾಣಿಸುತ್ತದೆ.
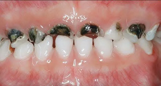
ಸಾಮಾನ್ಯವಾಗಿ ಹೆಚ್ಚಿನ ತಾಯಂದಿರು, ಮಕ್ಕಳನ್ನು ಮಲಗಿಸುವಾಗ ಮೊಲೆಯೂಡಿಸುವುದು ಸರ್ವೇ ಸಾಮಾನ್ಯ. ಮುದ್ದು ಮಕ್ಕಳ ಮೈದಡವುತ್ತಾ, ಬೆಚ್ಚಗಿನ ಸ್ಪರ್ಶದಿಂದ ಮಗುವಿಗೆ ಸಂಪೂರ್ಣ ಭದ್ರತೆಯ ಭಾವನೆ ಮೂಡಿ ನಿಧಾನವಾಗಿ ನಿದ್ರೆಗೆ ಜಾರುತ್ತದೆ. ಆದರೆ ಕೆಲವು ತಾಯಂದಿರು ಎದೆಹಾಲಿನ ಬದಲಾಗಿ ರಾತ್ರಿ ಹೊತ್ತು ಮಕ್ಕಳಿಗೆ ಬಾಟಲಿನಲ್ಲಿ ಹಾಲಿಗೆ ಸಕ್ಕರೆ ಬೆರೆಸಿ ಕುಡಿಸುವುದನ್ನು ರೂಢಿ ಮಾಡಿಕೊಳ್ಳುತ್ತಾರೆ. ರಾತ್ರಿ ಮಗು ಎಚ್ಚರಗೊಂಡು ಅತ್ತಾಗಲೆಲ್ಲಾ ಬಾಯಿಗೆ ಬಾಟಲಿನ ಸಕ್ಕರೆಯುಕ್ತ ಹಾಲನ್ನು ನೀಡಿ ಸಮಾಧಾನ ಪಡಿಸುವುದು ಸೂಕ್ತವಾದ ನಿರ್ಧಾರವಲ್ಲ. ಯಾಕೆಂದರೆ ಮಗು ಹಾಲನ್ನು ಹೀರುತ್ತಾ, ಕ್ರಮೇಣ ನಿದ್ದೆಗೆ ಜಾರುತ್ತದೆ. ಈ ರೀತಿ ಮಾಡುವುದರಿಂದ ಮಗುವಿನ ಬಾಯಿಯಲ್ಲಿ ಹಲ್ಲಿನ ಸಂದಿಗಳಲ್ಲಿ ಸಕ್ಕರೆಯ ಅಂಶ ಸೇರಿಕೊಂಡು ರಾಸಾಯನಿಕ ಪ್ರಕ್ರಿಯೆಗಳು ನಡೆದು, ಬ್ಯಾಕ್ಟೀರಿಯಗಳು ಆಮ್ಲವನ್ನು ಉತ್ಪಾದಿಸಿ ಹಲ್ಲಿನ ಮೇಲ್ಪದರವಾದ ಎನಾಮಲ್‍ನ್ನು ಕರಗಿಸಿ ದಂತ ಕ್ಷಯಕ್ಕೆ ರಹದಾರಿ ಮಾಡಿಕೊಳ್ಳುತ್ತದೆ. ಈ ರೀತಿಯ ದಂತ ಕ್ಷಯವನ್ನು “ಬೇಬಿ ಬಾಟಲ್ ದಂತ ಕ್ಷಯ” ಎಂದು ಕರೆಯುತ್ತಾರೆ. ಹೆಚ್ಚಾಗಿ 2ರಿಂದ 4 ವರ್ಷದ ಮಕ್ಕಳಲ್ಲಿ ಈ ರೀತಿಯ ದಂತ ಕ್ಷಯ ಕಾಣಿಸಿಕೊಳ್ಳುತ್ತದೆ. ಮೇಲಿನ ದವಡೆಯ ಮುಂಭಾಗದ ಹಲ್ಲುಗಳು ಹೆಚ್ಚಾಗಿ ಈ ರೀತಿಯ ದಂತ ಕ್ಷಯಕ್ಕೆ ತುತ್ತಾಗುತ್ತದೆ. ಈ ರೀತಿಯ ದಂತ ಕ್ಷಯದಲ್ಲಿ ಹಲ್ಲಿನ ಕೀರಿಟ ಭಾಗ ಸಂಪೂರ್ಣವಾಗಿ ಹಾಳಾಗಿ, ಕೇವಲ ಹಲ್ಲಿನ ಬೇರುಗಳು ಮಾತ್ರ ಬಾಯಲ್ಲಿ ಉಳಿದಿರುತ್ತದೆ.

ತಡೆಯುವುದು ಹೇಗೆ?

ತಾಯಂದಿರು 1ರಿಂದ 2 ವರ್ಷದ ಮಕ್ಕಳಿಗೆ ರಾತ್ರಿ ಹೊತ್ತು ಮೊಲೆಯೂಡಿಸುವುದನ್ನು ಕಡಿಮೆ ಮಾಡಬೇಕು. ರಾತ್ರಿ ಹೊತ್ತು ಅತೀ ಅನಿವಾರ್ಯವಾದಲ್ಲಿ ಮಾತ್ರ ಮೊಲೆಯೂಡಿಸುವುದನ್ನು ರೂಢಿ ಮಾಡಿಕೊಳ್ಳಬೇಕು. ರಾತ್ರಿ ಹೊತ್ತು ನಿದ್ದೆ ಮಾಡದೆ ಕಿರಿಕಿರಿ ಮಾಡುವ ಮಕ್ಕಳಿಗೆ ಬಾಟಲಿನಲ್ಲಿ ಹಾಲುಡಿಸುವುದನ್ನು ರೂಢಿ ಮಾಡಲೇಬಾರದು. ಅತೀ ಅನಿವಾರ್ಯವಾದಲ್ಲಿ ಮಾತ್ರ ಸಕ್ಕರೆ ಬೆರಸದ ಬರೀ ಹಾಲನ್ನು ನೀಡತಕ್ಕದ್ದು. ಕ್ರಮೇಣ ಹಾಲಿನಲ್ಲಿ ನೀರಿನಾಂಶವನ್ನು ಜಾಸ್ತಿ ಮಾಡಿ ಸಕ್ಕರೆ ಮತ್ತು ಗ್ಲುಕೋಸ್ ಪ್ರಮಾಣ ಕಡಿಮೆಯಾಗುವಂತೆ ನೋಡಿಕೊಳ್ಳಬೇಕು. ಕ್ರಮೇಣ ಹಾಲಿನ ಬದಲಾಗಿ ಶುದ್ಧ ನೀರನ್ನು ನೀಡಬಹುದು. ಕೆಲವೊಮ್ಮೆ ಮಕ್ಕಳು ಭದ್ರತೆಯ ಭಾವನೆಗಾಗಿ ಚೀಪುವುದನ್ನು ಅಭ್ಯಾಸವಾಗಿ ಮಾಡಿಕೊಂಡಿರುತ್ತವೆ. ಕೆಲವೊಮ್ಮೆ ಕನಸಲ್ಲಿ ಬೆದರಿದ ಮಕ್ಕಳು ತಾಯಂದಿರ ಅಪ್ಪುಗೆಯ ಬಿಸಿ ಉಸಿರಿನಲ್ಲಿಯೇ ಸಂಪೂರ್ಣವಾಗಿ ಭದ್ರತೆಯ ಭಾವನೆ ಕಂಡುಕೊಂಡು ನಿದ್ರಾ ಲೋಕಕ್ಕೆ ಜಾರುತ್ತದೆ. ನಿಮ್ಮ ಮುದ್ದು ಮಕ್ಕಳ ಮುಂಭಾಗದ ಹಲ್ಲುಗಳು ಪಳ ಪಳ ಹೊಳೆಯಬೇಕಿದ್ದಲ್ಲಿ, ರಾತ್ರಿ ಹೊತ್ತು ಬಾಟಲಿನಲ್ಲಿ ಹಾಲುಯೂಡಿಸುವುದನ್ನು ತಪ್ಪಿಸುವುದೇ ಅತ್ಯಂತ ಸರಳ ಮತ್ತು ನೇರವಾದ ಮಾರ್ಗವಾಗಿದೆ, ಇಲ್ಲವಾದಲ್ಲಿ ಮುಂಭಾಗದ ಹಲ್ಲುಗಳು ಕರಗಿ ಹೋಗಿ ಗೆಳೆಯರಿಂದ ಗೇಲಿಗೊಳಗಾಗಿ ಮಗುವಿನ ಆತ್ಮ ವಿಶ್ವಾಸಕ್ಕೂ ದಕ್ಕೆ ಬಂದು, ಮಾನಸಿಕ ಬೆಳವಣಿಗೆಗೂ ಮಾರಕವಾಗುವ ಸಾಧ್ಯತೆ ಇದೆ.

ಡಾ|| ಮುರಲಿ ಮೋಹನ್ ಚೂಂತಾರು
BDS MDS DNB MBA
MOSRCSEd
Consultant oral and maxillofacial surgeon

LEAVE A REPLY

Please enter your comment!
Please enter your name here